¿Podría la COVID-19 hacer que pierda el olfato o la memoria? Esto dicen los expertos

Una vez pasada y superada la enfermedad, lo que más preocupa a los pacientes son las posibles secuelas del SARS-CoV-2. Uno de los síntomas más nombrados como especialmente característico del COVID-19 es la pérdida del gusto y el olfato. Los científicos llevan más de medio año estudiando la COVID-19. Se sabe que son muchos los pacientes que presentan

2020-08-14T12:09:40+00:00agosto 13, 2020|

¡Ya hay vacuna contra la COVID-19! Rusia empezará a aplicarla en nueve días

El ministro de Sanidad de Rusia, Mijaíl Murashko confirmó que las pruebas clínicas de la vacuna contra la COVID-19 han concluido y resultaron exitosas, por lo que es momento de iniciar la etapa de registro. Los médicos y maestros serán los primeros en recibir la vacuna. Además, a partir del próximo 10 de agosto comenzará

2020-08-01T20:56:34+00:00agosto 1, 2020|

Primera inyección anticonceptiva para hombres saldrá este año a la venta

Desde el año 2017 se está trabajando en el desarrollo de una inyección anticonceptiva para hombres. Este año al fin podrá salir a la venta tras confirmarse que es efectiva y no tiene efectos secundarios. Esta inyección se aplica directamente en un vaso que contiene al esperma cerca de los testículos. Tiene un polímero que

2020-07-30T21:28:52+00:00julio 30, 2020|

Estas son las imágenes más cercanas al Sol que hemos logrado

La Agencia Espacial Europea (ESA) acaba de publicar las imágenes más cercanas capturadas de nuestro Sol hasta la fecha. Estas llegan gracias al enorme potencial de la misión Solar Orbiter. "Estas son solo las primeras imágenes y ya podemos ver nuevos fenómenos interesantes", dice Daniel Müller, científico del Proyecto Solar Orbiter de la ESA. “Realmente no esperábamos

2020-07-17T15:16:57+00:00julio 17, 2020|

El peligroso descenso de los nacimientos que experimenta el mundo

La tasa de fertilidad, que consiste en el número promedio de niños que da a luz una mujer, está cayendo. Si el número cae por debajo de aproximadamente 2,1, el tamaño de la población empieza a reducirse. En 1950, las mujeres tenían en promedio 4,7 niños en su vida. De acuerdo las proyecciones del estudio de

2020-07-17T12:02:37+00:00julio 16, 2020|

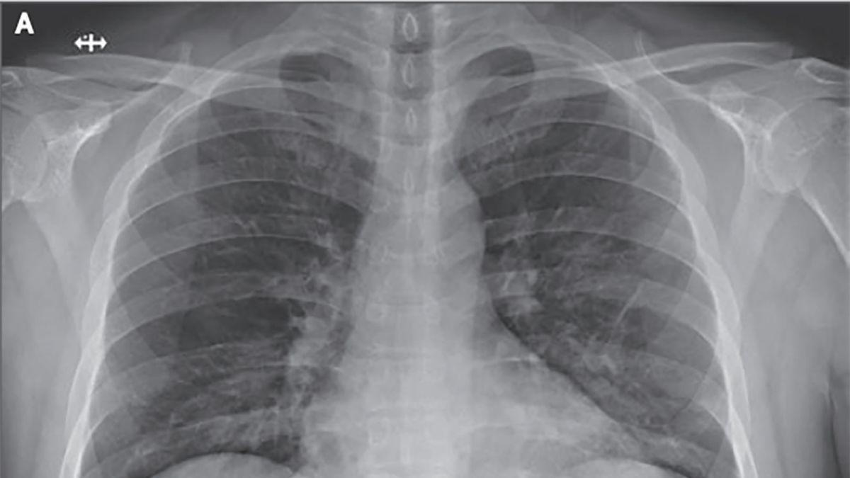
Asintomáticos de COVID-19 también sufren fuerte daño en los pulmones de forma silenciosa

Un estudio reciente realizado en distintos hospitales de Wuhan demuestra que los casos de COVID-19 que son asintomáticos también sufren daños severos en los pulmones, incluso se han casos de muertes repentinas. El estudio describe los cambios patológicos del pulmón en las tomografías de pacientes completamente asintomáticos.  Los investigadores encontraron lesiones consistentes con inflamación del tejido

2020-07-15T13:43:04+00:00julio 15, 2020|

MIT desarrolla robot que elimina SARS-CoV-2 mediante luz UCV

La pandemia viene acelerando la industria de la robótica ante el peligro del acercamiento entre personas en lugares públicos que puedan estar contagiadas. Uno de los sectores que más se viene investigando es en el de seguridad ocupacional y desinfección de espacios.  Ante esta situación, el Instituto Tecnológico de Massachusetts (MIT) viene presentando la alternativa de Ava Robotics, un

2020-07-07T15:56:25+00:00julio 6, 2020|

Cientos de elefantes aparecen muertos en Botsuana y no se sabe el porqué

Al menos 275 elefantes murieron en condiciones misteriosas en el delta del Okavango (norte), en Botsuana, una región muy popular entre los turistas, informaron hoy jueves 2 de julio las autoridades. "Hemos recibido un informe sobre la muerte de 356 elefantes en el norte del delta del Okavango, y hasta ahora hemos confirmado la muerte de

2020-07-02T22:21:32+00:00julio 2, 2020|

Encuentran murciélago “de tamaño humano” en Filipinas

Un usuario publicó en Twitter la imagen de un murciélago "de tamaño humano" en Filipinas. Esta se volvió viral rápidamente en redes sociales e incluso asustó a algunos internautas. Quien publicó la imagen dice que el animal de la foto es un "zorro volador de corona dorada gigante", este es un tipo de murciélago muy

2020-07-01T21:19:12+00:00julio 1, 2020|

Koalas se podrían extinguir en el 2050 según estudio

Los fuertes incendios que se dieron a principios del 2020 en Australia aceleraron la reducción de poblaciones de Koalas. Según un reciente estudio, estos mamíferos podrían extinguirse antes de llegar al año 2050. Además, el informe señala que la deforestación en los bosques nativos también afecta fuertemente a estos animales, sumado al cambio climático que

2020-06-30T22:15:12+00:00junio 30, 2020|
Go to Top